
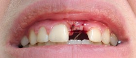
Dental implants are teeth implants which are placed where theroots of your previous teeth were. A dental implant has its own root and on the implant an artificial tooth is made that resembles the rest of your naturalteeth, being impossible for its artificiality to be noticed. It is an excellentchoice for those suffering from bad teeth and having too many dental troubles.
Dental implants, when compared to dentures have many advantages.They look and feel natural while one can always tell the difference betweenreal teeth and dentures. They are easy to get used too, since they fitbeautifully and restore your previously lost smile. These implants are highlydurable, in many cases longer than natural teeth. Cleaned easily, they requireno other attention in contrary to dentures which need to be removed, cleanedand placed in the special preserving solution. Implants also help in boosting yourself esteem since they fit you extremely well and give you freedom to smilewhenever feeling like doing so, without the fear of your denture falling off orgetting displaced. Another positive thing about dental implants is that they donot create an obstacle for your speech as dentures are known to do. The list ispractically endless since these implants are really known to change people'slives and do away with their life-long dental worries and fears.
Nevertheless, there are a few complications which a person canexperience while getting their gums used to dental implants and during the very“installation” process.
Most of the infections, irritations and other similarcomplications during and after the placement of dental implants are known to becaused by poor skills of the dentist. The implant may not be appropriatelyfixed to the jawbone surface and may be detached later or the unskilled dentistmay hit a nerve while installing the implant, thus creating permanent damage.Avoid doing this at just any given dentist's but rather choose some renown oneswhose work you are able to see beforehand, ask for a person who has already haddental implants put to recommend you his or her dentist.
Dental hygiene is crucial when taking care of your implants and themore you pay attention to it is the more they will last. One terrible habit whichis known to cause pain and trouble is teeth grinding. One should restrain himor her from doing this as they risk the root of the implant to be moved and causingpain and creating place for bacteria to get in.
Your thoughts on this
Loading...