
Fanconi anemia is a genetic disease associated with insufficient production of all types of blood cells. Another name for Fanconi anemia is chromosome breakage because patients' chromosomes are affected by many breaks. The condition is quite severe with a lethal outcome occurring during adolescence and young adulthood.Fanconi Anemia Clinical Characteristics
In the majority of cases symptoms and signs of Fanconi anemia first occur in children between 3 and 12 years of age. These individuals are highly prone to cancers that normally do not affect their age group.
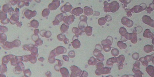
Most people suffering from Fanconi anemia experience fatigue, are prone to bleeding, bruising and suffer from frequent infections. Most symptoms are practically a consequence of inadequate number of red blood cells, white blood cells as well as platelets.
It is possible to diagnose the condition right at birth thanks to many specific anatomical and functional abnormalities. For instance, there may be thumb and arm anomalies, skeletal anomalies of the hips, spine and ribs, kidney problems and skin discoloration in a form of "café au lait spots". Patients may also have small head and eyes, low birth weight and suffer from gastrointestinal difficulties. In boys reproductive organs may be quite small and there are defects affecting the wall separating heart chambers. Mental retardation and learning difficulties occur as well.
How does Fanconi Anemia Occur?
This is a genetic disorder which means that it is inherited from parents via defective genes. It is estimated that one out of every 87 Ashkenazi Jews is actually a carrier of defective genes and may pass the disease onto his/her offspring. Both parents need to have defective gene for child to develop the disease.
As far as genetics is concerned, there is one in four chances that the child will actually inherit Fanconi anemia, two in four chances that he/she will become a carrier and also one in four chance that the child will be healthy and also manage to avoid getting a faulty gene.
The condition can be detected during pregnancy thanks to chorionic villus sampling and amniocentesis.
Fanconi Anemia Treatment
The condition is not curable but it can be prevented in case both parents are genetically tested prior to conception. Also, testing can be performed during pregnancy when Fanconi anemia may be detected early and the woman may choose between keeping the child or having an abortion.
As for treatment, most patients benefit from stem cell transplantation. Finally, since these patients are prone to cancers they require regular check-ups which may identify malignant tumors in early stages.
Your thoughts on this
Loading...