
Introduction to Shallow Breathing
Shallow breathing, also known as hypopnea, is a term used to describe chest breathing which includes taking minimal breath. In shallow breathing the person uses the intercostal muscles and there is usually no participation of the lungs and the diaphragm in process of breathing. Shallow breathing is not considered normal. It may be associated with rapid breathing and hyperventilation and may have serious repercussions.
Causes of Shallow Breathing
There is a variety of illnesses and factors which contribute to the occurrence of shallow breathing.
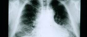
Shallow breathing is a characteristic of numerous lung conditions. For example, it occurs in asthma. The reason why people suffering from asthma experience shallow breathing can be explained by inflammation of the bronchioli and accumulation of the sticky mucus in the airway. People suffering from asthma particularly face shallow breathing during the asthma attack. Pulmonary edema is one more lung condition associated with shallow breathing. In this case the problem is related to lung congestion caused by fluid accumulation in the air sacs. There is also a rapid breathing and the condition is potentially lethal unless treated on time. Chronic obstructive pulmonary disease (emphysema and chronic bronchitis) is one more cause of shallow breathing. Typical structural changes in the lungs are responsible for improper ventilation and exchange of oxygen and carbon dioxide. In order to obtain sufficient amount of oxygen a patient unconsciously starts to take shallow breaths. And finally, shallow breathing is a characteristic of pneumonia.
Apart from the lung conditions shallow breathing can be associated with chest pain. Namely, any kind of injury to the ribs and rib cage and illnesses of the organs inside the chest that are accompanied by chest pain lead to reduced movement of the chest and subsequent shallow breathing. The pain is in this case the actual cause of shallow breathing and once it subsides one continues breathing normally.
Shallow breathing can be also a consequence of non-physical problems. For, example people who are under stress and those who are anxious or feel fear can change their breathing patterns. They may breathe rapidly or the breathing can be shallow. The breathing normalizes once the underlying cause of stress and anxiety is removed. Shallow breathing is a characteristic of panic attacks. Panic attack is much more serious than simple anxiety. The symptoms and signs of a panic attack can be so intensive that a person may feel he/ she is having a heart attack or a nervous breakdown. Panic attack includes many additional symptoms apart from shallow breathing. Fortunately, unlike illnesses which cause shallow breathing due to structural changes in the lungs in panic attack there is no damage to the lungs, the problem is treatable and does not cause serious complications.
Your thoughts on this
Loading...