
Barrett's esophagus
Barrett's esophagus is the medical name for a complication that is caused by chronic gastroesophageal reflux disease, and this condition usually affects white men. Gastroesophageal reflux disease or GERD is a disease marked by the reflux of acidic fluid from the stomach into the swallowing tube, commonly known as esophagus. Because of this, heartburn may occur.
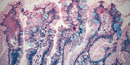
Diagnosing Barrett’s esophagus
When the symptoms of Barrett’s esophagus become apparent, the doctor must order several tests to be done in order to diagnose the disease. An endoscopy of the esophagus must be done. During endoscopy, an endoscope is inserted into the esophagus through the mouth. The role of the endoscope is to view and biopsy the lining of the esophagus. If the lining of the esophagus is abnormally pink instead of being the normal whitish lining and if it stretches up the esophagus from the gastroesophageal junction, it can be the sign of the incidence of Barrett’s esophagus. The gastroesophageal junction is the place where the stomach and the esophagus meet and connect.
Furthermore, if biopsy establishes that the standard lining cells of the esophagus are substituted by intestinal type lining cells, it is the second sign that Barrett’s esophagus actually occurred. These abnormal cells include goblet cells that produce mucus and many other kinds of cells, even the cells that resemble those cells of the lining of the stomach. Nevertheless, the intestinal goblet cells must be present when Barrett’s esophagus occurs. If the biopsy establishes that there are no goblet cells, then Barrett’s esophagus should not be diagnosed.
Symptoms of Barrett's esophagus
This condition does not have its own characteristic symptoms. In the majority of cases, the people with this disease have the symptoms that are common for gastroesophageal reflux disease. These symptoms include nausea, heartburn and regurgitation. However, it is believed that the symptoms of Barrett’s esophagus tend to be more severe than the symptoms that appear during GERD. Nevertheless, it is not a rule that people with Barrett’s esophagus have the same symptoms of GERD. There are many of them with this condition that do not show any of the symptoms that are present with GERD.
In most cases, a person with Barrett’s esophagus may experience heartburn, a burning sensation that appears behind the chest bone in the lower half. Heartburn may spread from that place up to the throat and it can be followed by the pain in the stomach pit. Furthermore, the people who suffer from Barrett’s esophagus may have regurgitation of bitter tasting liquid. Other symptoms of this condition include asthma, bronchitis, chronic cough, hoarseness, and sore throats.
Your thoughts on this
Loading...